Современные томографические методы морфофункциональной оценки левого предсердия у пациентов с фибрилляцией предсердий
УДК 616-073.756.8
А.А. МАЛОВ1, С.А. ЕРЕМИН2
1Казанский государственный медицинский университет МЗ РФ, 420012, г. Казань, ул. Бутлерова, д. 49
2Республиканская клиническая больница МЗ РТ, 420064, г. Казань, Оренбургский тракт, д. 138
Малов Алексей Анатольевич — ассистент кафедры онкологии с курсом лучевой диагностики и лучевой терапии, e-mail: malov_aleksei@inbox.ru, ORCID ID: 0000-0003-3261-9986
Еремин Сергей Александрович — заведующий отделением хирургического лечения сложных нарушений ритма сердца и электрокардиостимуляции, тел. (843) 237-35-00, e-mail: aritmologia@mail.ru
Фибрилляция предсердий (ФП) — аритмия, характеризующаяся электрической активностью предсердий с частотой импульсов до 350–700 в минуту и неритмичностью комплексов QRS на электрокардиограмме (ЭКГ). С тенденцией к росту заболеваемости, к 2030 году распространенность данной формы аритмии составит около 3% в общей популяции. В связи с высокой частотой осложнений данной аритмии, особое внимание сосредоточено на изучении морфологии и функции левого предсердия (ЛП) при ФП. Осуществляя резервную и насосную функцию, ЛП обеспечивает до 15–30% ударного объема ЛЖ. Нарушение основных функций ЛП при ФП обусловлено гипертрофией, дистрофией и фиброзом миофибрилл. Современные томографические методики МСКТ и МРТ позволяют с высокой точностью оценить функциональные и морфологические параметры ЛП, которые крайне важны для прогнозирования риска осложнений ФП, определения тактики лечения данной группы пациентов и прогноза успешности хирургического лечения. Оценка фракции выброса (предсердного вклада ЛП), объема, размера устья, анатомии впадения легочных вен в ЛП и его ушка и, наконец, фиброза миокарда ЛП становится обязательными условиями интервенционного вмешательства
Высокая диагностическая информативность КТ и МРТ подтверждается тем, что размеры ЛП и легочных вен не противоречат данным инвазивных методов исследования (внутрисердечная эхокардиография и венография), а фиброз ЛП подтверждается результатами гистологических анализов биопсий.
Ключевые слова: фибрилляция предсердий (ФП), мультиспиральная компьютерная томография (МСКТ), магнитно-резонансная томография (МРТ) сердца.
(Для цитирования: Малов А.А., Еремин С.А. Современные томографические методы морфофункциональной оценки левого предсердия у пациентов с фибрилляцией предсердий. Практическая медицина. 2018)
A.A. MALOV1, S.A. EREMIN2
1Kazan State Medical University, 49 Butlerov Str., Kazan, Russian Federation, 420012
2Republic Clinical Hospital, 138 Orenburgskiytrakt, Kazan, Russian Federation, 420064
Modern tomography methods of morphology and functional assessment of the left atrium at patients with atrial fibrillation
Malov A.A. — Assistant Lecturer of the Department of Oncology with course of radiology and radiation therapy, e-mail: malov_aleksei@inbox.ru, ORCID ID: 0000-0003-3261-9986
Eremin S.A. — Head of the Department of Surgical Treatment of Complex Cardiac Arrhythmias and Pacing, tel. (843) 237-35-00, e-mail: aritmologia@mail.ru
Atrial Fibrillation (AF) is characterized by electric activity of atrials with frequency of impulses up to 350-700 a minute and unevenness of the QRS complexes on electrocardiogram (ECG). The morbidity tends to grow, and the assessment of this form of arrhythmia is 3% by 2030. Due to the high frequency of complications of this arrhythmia, special attention is concentrated on studying of morphology and function of the left atrium (LA) at AF. Carrying out reserve and pumping function, LA provides up to 15–30% of stroke output of LV. Violation of the main LA functions in AF is due to hypertrophy, dystrophy and myofibril fibroses. The modern tomographic techniques of MDCT and MRI allow estimating the LA functional and morphological parameters with high accuracy, which is extremely important for evaluation of risk of AF complications, definition of treatment tactics and successful surgical treatment. Assessment of injection fraction (atrial contribution of LA), volume, mouth size, anatomy of pulmonary veins falling into LA and its auricle, and fibrosis of LA myocardium are obligatory conditions of intervention.
The high diagnostic information value of CT and MRI are confirmed by the fact that the sizes of LA and lung veins do not contradict the data of invasive research methods (endocardiac echocardiography and venography), while LA fibrosis is confirmed by the results of histological analyses of biopsies.
Key words: atrial fibrillation (AF), multiple detector computer tomography (MDCT), magnetic resonance tomography (MRI) of heart.
(For citation: Malov A.A., Eremin S.A. Modern tomography methods of morphology and functional assessment of the left atrium at patients with atrial fibrillation. Practical Medicine. 2018)
Фибрилляция предсердий (ФП) — наджелудочковая тахиаритмия, характеризующаяся хаотической электрической активность предсердий с частотой 350–700 в минуту и неритмичностью комплексов QRS на ЭКГ [1]. На сегодняшний день распространенность ФП в общей популяции составляет не менее 1–2% [2]. Согласно современным Европейским рекомендациям, в 2010 году предполагаемое число мужчин и женщин с ФП во всем мире были 20,9 и 12,6 миллионов, соответственно, четверть всего трудоспособного населения в Европе и США. К 2030 году, по оценке Европейской ассоциации сердечного ритма (European Heart Rhythm Association (EHRA)) число пациентов составит около 3%, особенно в связи с ростом заболеваемости артериальной гипертензией, сердечной недостаточностью, ишемической болезнью сердца (ИБС), приобретенными порокамиклапанов, ожирением, сахарным диабетом и хронической болезнью почек (ХБП) [3].
В течение длительного времени для объяснения патогенеза фибрилляции предсердий использовались три механизма: множественные волны хаотического возбуждения, фокусная электрическая активность и локализованный фронт риентри с фибрилляторным проведением. Современные консенсусные документы наибольшую роль в формировании механизмов индукции и поддержания фибрилляции предсердий отводят очагам с высокой частотой импульсной активности у определенной категории больных, воздействие на которые посредством катетерной абляции в ряде случаев позволяет вылечить заболевание [4]. Речь в первую очередь идет о следующих структурах, участвующих в аритмогенезе: легочные вены (ЛВ), задняя стенка левого предсердия (ЛП), их автономная иннервация (рис. 1).
Рис. 1. Схематическое изображение механизма формирования ФП. Основные ганглионарные сплетения (ГС) автономной нервной системы. Большие и малые круги риентри. Локализация аритмогенных триггеров
Fig. 1. Scheme of the mechanism of AF mechanism. The main ganglionic plexus (GP) of the autonomous nervous system. Large and small reentry circles. Localization of arrhythmogenic triggers.

Катетерная аблация (РЧА) показана пациентам, у которых клинические симптомы сохраняются, несмотря на оптимальную медикаментозную терапию, включающую средства для контроля ЧСС и ритма сердца. При оценке целесообразности аблации следует принимать во внимание следующие обстоятельства: функциональная (электрофизиологическая) и транспортная функция левого предсердия (тип ФП, размер левого предсердия, анамнез аритмии), наличие и тяжесть основного заболевания, возможные альтернативы (антиаритмические средства, контроль ЧСС), предпочтения больного. При этом перед РЧА всем пациентам, помимо стандартного обследования, включающее: регистрацию ЭКГ в 12 отведениях, Холтеровского мониторирования, а также эхокардиографию, следует провести дополнительные методы исследования: мультиспиральная компьютерная томография (МСКТ) и\или магнитно-резонансная томография (МРТ). С одной стороны, левое предсердие представляет собой резервуар, принимающий кровь из легочных вен во время систолы желудочков, а во время фазы раннего диастолического заполнения ЛЖ выступает как кондуит, направляя ток крови в ЛЖ. Однако ЛП также выполняет насосную функцию, обеспечивая 15–30 % ударного объема ЛЖ за счет активного опустошения в конце диастолы желудочков. Дилатация и ремоделирование ЛП приводит к таким гистологическим изменениям миофибрилл, как их гипертрофия, дистрофия, миолиз и фиброз [5]. Стандартом для компьютерной томографии сердца на сегодняшний день являются сканеры с числом срезов 64 с возможностью проспективного\ретроспективного сбора данных. Основное преимущество данного исследования является возможность послойного исследования сердца с толщиной среза 6-7 мм (высокое пространственное). Многофазное контрастирование с КВ на основе йода по методикам «болюс трекинг» позволяют получать оптимальное контрастирование полостей сердца, изучить объемы всех камер сердца в различные фазы сердечного цикла, визуализировать коронарные сосуды и венозную системы сердца. При этом к недостаткам данных сканеров следует отнести чувствительность к нарушениям ритма во время сканирования (в первую очередь наличие постоянной формы ФП, синусовой тахикардии, частой желудочковой экстрасистолии и др.). Бурное техническое развитие широкодетекторных томографов с числом срезов 128-256-512 позволило выполнять сверхбыстрое сканирование сердца за 1 сердечный цикл, что в большинстве случаев позволяет выполнить исследование у любого пациента. Появление двухэнергетических сканеров (dual-sourceCT), внедрение проспективного сбора данных, позволило снизить лучевую нагрузку до 1-1.3 мЗв, что сопоставимо с лучевой нагрузкой при рутинных рентгенологических и флюорографических исследованиях [6].
Успешность катетерной аблации ФП, а именно электрической изоляции устьев легочных вен от ЛП, во многом предопределяется точным предоперационным определением анатомии легочных вен и размеров их устьев. Среди вариантов анатомии чаще всего встречаются: общий коллектор и дополнительные легочные вены [7]. Известно, что вены с большим диаметром являются потенциально аритмогенными и ответственны за запуск аритмии, как и наличие впадающего общего коллектора легочных вен [8]. Достоинством МСКТ также является оценка размеров и объемов ушка левого предсердия, высокая диагностическая информативность в выявлении тромботических масс [9].
Основными преимуществами высокопольной магнитно-резонансной томографии (МРТ) является высокое временное разрешение, недостижимое для МСКТ, при сравнительно низком пространственным разрешением [10]. Эта особенность МРТ позволяет не только визуализировать стенки и камеры сердца, но и оценивать патофизиологические процессы, такие как: отек миокарда, интрамиокардиальное депонирование железа (интрамиокардиальные кровоизлияния при реперфузионном повреждении) и другие [11, 12]. Методики отсроченного постконтрастногоT1 взвешенного изображения с инверсией восстановления сигнала (InversionRecovery IR — TFE, DE-PSIR, IR-MDE) с использованием парамагнитных контрастных веществ на основе гадолиния позволяют визуализировать рубцовые и фиброзные изменения, дифференцировать гибернированные сегменты миокарда, лишенные инотропной функции [13,14].
Цель исследования — определение возможности комплексного применения методик МСКТ и МРТ сердца при оценке вероятности успешного хирургического лечения ФП.
Материал и методы. Сформирована группа из 30 пациентов (18 пациентов с пароксизмальной 3 с персистирующей и 7 с постоянной формой ФП), отобранных на проведение РЧА устьев легочных вен, 3 пациента на повторную катетерную абляцию устьев легочных вен. Артериальной гипертензией страдали 11 (61%) пациентов, ишемической болезнью (ИБС) 8 (26%), хронической сердечной недостаточностью (ХСН) II-III ФК по NYHA7 (23 %), сахарный диабет II типа 4 (13 %), 2 пациента с идиопатической рестриктивной кардиомиопатией (РКМП).
Помимо общего клинического обследования, ЭКГ в 12 стандартных отведениях, эхокардиографию Эхо КГ, всем пациентам проводилась МСКТ коронарография с трехмерной реконструкцией левого предсердия и легочных вен на широкодетекторном КТ томографе PHILIPSINGENITY 128 с использованием ретроспективного мультифазного ЭКГ-синхронизированного протокола сбора данных. Протокол включал получение топограммы органов грудной клетки (ОГК), нативного протокола сбора данных — коронарный кальциевый индекс (ККИ) с подсчетом кальциноза коронарных артерий и аорты по шкале AgatstonScore, ангиографию с использованием автоматического двухколбового шприц-инжектора методикой “BolusTracking” на нисходящий грудной отдел аорты, реконструкцией в фазу 75 % R-Rинтервала сердечного цикла, толщиной среза 0.7 см. Использовался пакет программ мультипланарной реконструкцией коронарного русла: трехмерной реконструкции (3D volumerendering) сердца, построения криволинейных реконструкций через центральную ось коронарных артерий, методики vesselview — изображение артерии, вытянутое в прямую линию с генерацией серии аксиальных срезов коронарных артерий. Оценивались максимальный и минимальный объем ЛП в диастолу и систолу ЛЖ, рассчитывался показатель предсердного вклада в функцию ЛЖ как отношению ударного объема ЛП (УО) к конечно-систолическому объему (КСО) ЛП, на реконструкциях в проекции максимальной интенсивности сигнала (MIP) оценивалась анатомия, количество и размеры легочных вен. Подсчитывались диаметр ЛП, индексированные диастолический и систолический объемы ЛП с учетом объема ушка ЛП (рис. 2).
Рис. 2. Методика объемного моделирования полости ЛП для расчета объема
Fig. 2. Technique of 3D modeling of LA cavity for volume calculation

Для полуколичественной оценки наличия и степени фиброза стенок ЛП и устьев легочных вен всем пациентам проводилась магнитно-резонансная томография (МРТ сердца) с парамагнитным контрастным препаратом гадобутрола“Гадовист” (Bayer) в дозе 0.1-0.15 ммоль на 1 кг массы тела: МР томографы: SiemensMagnetomVerio 3T TIM+DOT System, SiemensMagnetomAvanto 1.5 TPhilips Diamond SelectionAchieva 1.5T, GeneralElectricGE SignaHDxt 1.5T cЭКГ-синхронизацией, кардиопакетом программ постпроцессинговой обработки и анализа параметров сократительной функции SegmentCMRMedviso. В ходе исследования применялись импульсные последовательности градиентного эхо в кино-режиме (CINE) c использованием стандартных позиций 4- и 2-камерной плоскости ЛЖ, длинной оси ЛЖ, плоскости ВТЛЖ и серии срезов по короткой оси сердца (в среднем 10-12 томографических срезов), последовательности T2- (TIRM, STIR) для выявления зон отека миокарда левого и правого желудочка, T1-взвешенных постконтрастных изображений с инверсией восстановления сигнала (InversionRecovery IR — TFE, DE-PSIR, IR-MDE), с применением методики отсроченного контрастирования (Delayed Enchancement IDE) для визуализации рубцовых и\или фиброзных изменений миокарда желудочков и предсердий. Для получения тонких аксиальных томографических срезов ЛП использовалась ЭКГ-синхронизированная последовательность T1 –vibe-DIXON-tra-320-W с толщиной среза 2.5 мм. Для оценки степени и локализации фиброза ЛП применялись 2 подхода. Классификация C. Mc Gann и соавт., позволяющая полуколичественно оценить степени фиброза: I степень (менее 10% от объема) — вероятность успешного хирургического лечения ФП более 80%; II степень (более 10% но менее 20%) — вероятность успешного хирургического лечения ФП более 50%; III степень (более 20% но менее 30%) — вероятность успешного хирургического лечения ФП менее 50%; IV степень (более 30%) — не рекомендуется хирургическое лечение нарушение ритма (РЧА)- вероятность успешного хирургического лечения менее 30%. Более современная классификация ЮТА (Utah):UtahI-II, IIIлокализованный фиброз — высока вероятность успешного хирургического лечения ФП;UtahIIIдиффузный фиброз, UtahIV — рекомендуется консервативное лечение ФП.
Результаты:
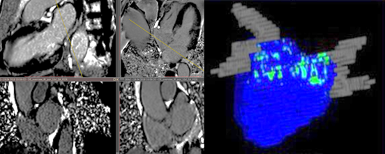
По результатам исследования все пациенты были разделены на 2 группы в зависимости от степени увеличения ЛП. Первую группу (18 пациентов) 60 % составили пациенты с максимальным объемом ЛП менее 120 мл по данным МСКТ. Во вторую группу (12 пациентов) 40 % вошли пациенты с объемом менее 120 мл. Параметры ремоделирования ЛП 1 группы отражены в табл. 1. Лишь у 12 пациентов (66%) 1-й группы фиброз ЛП соответствовал I-II степени Utah (рис 3), у 6 пациентов (33%) выявлен диффузный фиброз устьев легочных вен и задней стенки ЛП III-IV степень Utah (рис. 4).
Таблица 1. Параметры ремоделирования левого предсердия по данным МСКТ у пациентов 1-й группы. Данные приведены в виде средней М±SD % (стандартное отклонение)
Table 1. Parameters of LA modeling by MDCT data in patients of group 1. Data is given as an average М±SD % (standard deviation)
| Диаметр ЛП, мм | 43.2±4.3 |
| Максимальный объем ЛП, мл | 105±25.4 |
| Индексированный максимальный объем ЛП/ППТ, мл\м2 | 60.3±12.2 |
| Минимальный объем ЛП, мл | 70.6±21.3 |
| Индексированный минимальный объем ЛП/ППТ, мл\м2 | 40.3±10.7 |
| Предсердный вклад в функцию ЛЖ % | 45.4±9.5 |
Рис. 3. Т1-постконтрастная визуализация миокарда желудочков и предсердий с применением методики отсроченного контрастирования (DelayedEnchancement IDE) с использованием последовательностей (DE—high—resolution—PSIR) с трехмерной реконструкцией последовательностью T1–vibe—DIXON—tra-320-W у пациента с незначительной степенью фиброза ЛП (II степень Utah)
Fig. 3. Т1-post-contrast visualization of ventricle and atrium myocardium with the Delayed Enchancement IDE technique with DE-high-resolution-PSIR and 3D reconstruction of T1–vibe-DIXON-tra-320-W in a patient with minor LA fibrosis (II degree Utah).

Рис. 4. Т1-постконтрастная визуализация миокарда желудочков и предсердий с применением методики отсроченного контрастирования (Delayed Enchancement IDE) с использованием последовательностей (DE—high—resolution—PSIR) с трехмерной реконструкцией последовательностью T1–vibe—DIXON—tra-320-W у пациента с диффузными фиброзными изменениями ЛП (III степень Utah)
Fig. 4. Т1-post-contrast visualization of ventricle and atrium myocardium with the Delayed Enchancement IDE technique with DE-high-resolution-PSIR and 3D reconstruction of T1–vibe-DIXON-tra-320-W in a patient with diffuse LA fibrosis (III degree Utah).

Параметры ремоделирования ЛП 2-й группы отражены в табл. 2. У 9 пациентов (75%) выявлен диффузный фиброз, соответствующий III-IV степени Utah
Таблица 2. Параметры ремоделирования левого предсердия по данным МСКТ у пациентов 2-й группы. Данные приведены в виде средней М±SD % (стандартное отклонение)
Table 2. Parameters of LA modeling by MDCT data in patients of group 2. Data is given as an average М±SD % (standard deviation)
| Диаметр ЛП, мм | 57.3±7.5 |
| Максимальный объем ЛП, мл | 145±32.7 |
| Индексированный максимальный объем ЛП/ППТ, мл\м2 | 95.7±18.4 |
| Минимальный объем ЛП, мл | 109±13.7 |
| Индексированный минимальный объем ЛП/ППТ, мл\м2 | 70.3±11.2 |
| Предсердный вклад в функцию ЛЖ % | 25.4±6.5 |
В 1-й группе пациентов отмечен достоверно более высокий предсердный вклад в функцию ЛЖ 45.4±9.5% против 25.4±6.5% у пациентов 2-й группы, не получена взаимосвязь между объемом ЛП и степенью фиброзирования ЛП (p=0.15), что позволяет рассматривать оценку степени фиброза ЛП в данной группе как независимый прогностический фактор успешности хирургического лечения ФП. Во 2-1 группе пациентов, с выраженной дилатацией ЛП более 120 мл, помимо нарастания объема и изменении параметров ремоделирования, отмечается достоверное снижение насосной функции ЛП, а диффузные фиброзные изменения отмечаются в большинстве случаев.
При анализе анатомии легочных вен по данным МСКТ, у 19 обследованных пациентов (63%) выявлен коллекторный тип впадения как минимум 1-й группы легочных вен, у 12 пациентов (40%) наличие добавочных легочных вен (рис. 5).
Рис. 5. Трехмерная реконструкция левого предсердия (3D—volume rendering) и легочных вен по данным МСКТ
Fig. 5. 3D-volume rendering of LA and lung veins by MDCT

Обсуждение: Проведенное исследование позволило определить роль и место современных томографических методов лучевой диагностики в алгоритме предоперационного обследования пациентов с ФП. Выбор оптимальной стратегии лечения и решение вопроса о катетерной аблации предусматривает изучения данных анамнеза, сопутствующих заболеваний, данных методов функциональной диагностики. Однако точное знание анатомии и размеров ЛП и легочных вен, определение предсердного вклада в функцию ЛЖ, а также степени фиброза ЛП методами МСКТ, МРТ играет существенную роль и позволяет оценить риск и успешность вмешательства.
Заключение
Высокая диагностическая информативность МСКТ подтверждается при сопоставлении с инвазивных методов исследования (внутрисердечная ЭхоКГ и венография). В то же время многочисленные рекомендации и результаты гистологического сопоставления подтверждают независимую прогностическую значимость определения фиброза ЛП методом высокопольной МРТ [14, 15]. Дальнейшее совершенствование и внедрение томографических методов лучевой диагностики позволит значительно улучшить результаты хирургического лечения данного нарушения ритма.
ЛИТЕРАТУРА
- Струтынский А.В. Электрокардиограмма. Анализ и интерпретация. М.: МЕДпресс-информ; 2009: 123–224.
- Stewart S., Hart C.L., Hole D.J., McMurray J.J. Population prevalence, incidence, and predictors of atrial fibrillation in the Renfrew/ Paisley study. Heart 2001; 86: 516–521
- 2016 ESC Guidelines for the management of atrial fibrillation developed in collaboration with EACTS
- Calkins, K.H. Kuck, R. Cappatoand oth., Expert consensus document HRS/EHRA/ECAS on catheter and surgical ablation of atrial fibrillation/ HRS/EHRA/ECAS, 2012.
- Л.А. Бокерия, З.З. Иванова Оценка морфофункциональных особенностей левого предсердия у пациентов с фибрилляцией предсердий с помощью компьютерной и магнитно-резонансной томографии Анналы аритмологии.2014; 1: №4
- Left atrial geometry and outcome of atrialfibrillation ablation: results fromthemulticentre LAGO-AF study / European Heart Journal — Cardiovascular Imaging (2018) 0, 1–8
- Wood M.A., Wittkamp M., Henry D. et al. A comparison of pulmonary vein ostial anatomy by computerized tomography, echocardiography, and venography in patients with atrial fibrillation having radiofrequency catheter ablation. Am. J. Cardiol. 2004; 93: 49–53. DOI: 10.1016/j.amjcard.2003.09.011.
- Ревишвили А.Ш., Любкина Е.В., Торрес Дж. и соавт.Результаты интервенционного лечения различных форм фибрилляции предсердий. Анналы аритмологии. 2004; 1:86–93.
- Romero J., Husain S., Kelesidis I. et al. Detection of left atrial appendage thrombus by cardiac computed tomography in patients with atrial fibrillation: a meta-analysis. Circ: Imaging. 2013; 6 (2)
- Vu Ch.C. The assessment of atrial function by velocity-encoded magnetic resonance imaging. World J. Cardiovasc. 2013; 3(2): 18–24.
- Oakes R.S., Badger T.J., Kholmovski E.G. et al. Detection and quantification of left atrial structural remodeling with delayed enhancement magnetic resonance imaging in patients with atrial fibrillation. Circulation. 2009; 119 (13): 1758–67. CIRCULATIONAHA.108.811877.
- Tsang T.S., Barnes M.E., Bailey K.R. et al. Left atrial volume important risk marker of incident atrial fibrillation in 1655 older men and women. Mayo Clin. Proc. 2001; 76 (5): 467–75.
- Heist E.K., Refaat M., Danik S.B. et al. Analysis of the left atrial appendage by magnetic resonance angiography in patients with atrial fibrillation. Heart Rhythm. 2006; 3 (11): 1313–8.
- Jais P., Cauchemez B., Macle L., et al. Catheter ablation versus antiarrhythmic drugs for atrial fibrillation: the A4 study. Circulation 2008; 118:2498–2505.
- Hsu L.F., Jais P., Sanders P., et al. Catheter ablation for atrial fibrillation in congestive heart failure. N Engl J Med 2004; 351: 2373–2383.
- Khan M.N., Jais P., Cummings J., et al. Pulmonary-vein isolation for atrial fibrillation in patients with heart failure. N Engl J Med 2008; 359: 1778–1785.
REFERENCES
- Strutynskiy A.V. Ehlektrokardiogramma. Analiz i interpretatsiya [Electrocardiogram. Analysis and interpretation]. Moscow: MEDpress-inform; 2009: 123–224.
- Stewart S., Hart C.L., Hole D.J., McMurray J.J. Population prevalence, incidence, and predictors of atrial fibrillation in the Renfrew/ Paisley study. Heart, 2001; 86: 516–521.
- 2016 ESC Guidelines for the management of atrial fibrillation developed in collaboration with EACTS.
- Calkins H., Kuck K.H., Cappatoand R. oth. Expert consensus document HRS/EHRA/ECAS on catheter and surgical ablation of atrial fibrillation/ HRS/EHRA/ECAS, 2012.
- Bokeriya L.A., Ivanova Z.Z. Assessment of the morphofunctional characteristics of the left atrium in patients with atrial fibrillation using computer and magnetic resonance imaging. Annaly aritmologii, 2014; 1: no. 4 (in Russ.).
- Left atrial geometry and outcome of atrialfibrillation ablation: results fromthemulticentre LAGO-AF study. European Heart Journal – Cardiovascular Imaging, (2018) 0, 1–8.
- Wood M.A., Wittkamp M., Henry D. et al. A comparison of pulmonary vein ostial anatomy by computerized tomography, echocardiography, and venography in patients with atrial fibrillation having radiofrequency catheter ablation. Am. J. Cardiol., 2004; 93: 49–53. DOI: 10.1016/j.amjcard.2003.09.011.
- Revishvili A.Sh., Lyubkina E.V., Torres Dzh. et al. Results of interventional treatment of various forms of atrial fibrillation. Annaly aritmologii, 2004; 1:86–93 (in Russ.).
- Romero J., Husain S., Kelesidis I. et al. Detection of left atrial appendage thrombus by cardiac computed tomography in patients with atrial fibrillation: a meta-analysis. Circ:Cardiovasc. Imaging, 2013; 6 (2).
- Vu Ch.C. The assessment of atrial function by velocity-encoded magnetic resonance imaging. World J. Cardiovasc. Dis., 2013; 3(2): 18–24.
- Oakes R.S., Badger T.J., Kholmovski E.G. et al. Detection and quantification of left atrial structural remodeling with delayed enhancement magnetic resonance imaging in patients with atrial fibrillation. Circulation, 2009; 119 (13): 1758–67. CIRCULATIONAHA.108.811877.
- Tsang T.S., Barnes M.E., Bailey K.R. et al. Left atrial volume important risk marker of incident atrial fibrillation in 1655 older men and women. Mayo Clin. Proc., 2001; 76 (5): 467–75.
- Heist E.K., Refaat M., Danik S.B. et al. Analysis of the left atrial appendage by magnetic resonance angiography in patients with atrial fibrillation. Heart Rhythm., 2006; 3 (11): 1313–8.
- Jais P., Cauchemez B., Macle L. et al. Catheter ablation versus antiarrhythmic drugs for atrial fibrillation: the A4 study. Circulation, 2008; 118:2498–2505.
- Hsu L.F., Jais P., Sanders P. et al. Catheter ablation for atrial fibrillation in congestive heart failure. N Engl J Med., 2004; 351: 2373–2383.
- Khan M.N., Jais P., Cummings J. et al. Pulmonary-vein isolation for atrial fibrillation in patients with heart failure. N Engl J Med., 2008; 359: 1778–1785.


